Berita Viral
PRIA di Jawa Timur Masukan Sikat Gigi ke Penis Demi Kepuasan Bercinta, Berujung Bengkak Membiru
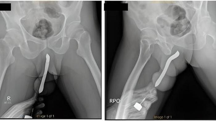
Pria di Jawa Timur membuat ngilu. Kasus seorang pria di Jawa Timur memasukkan sikat gigi ke dalam penisnya.
TRIBUN-MEDAN.com - Pria di Jawa Timur membuat ngilu. Kasus seorang pria di Jawa Timur memasukkan sikat gigi ke dalam penisnya.
Pria ini memasukkan sikat gigi ke dalam penisnya untuk kepuasan seksnya.
Kasus ini pun menjadi sorotan media internasional.
Kasus yang dipublikasikan di International Journal of Surgery Case Reports menyebut pria itu ke rumah sakit setelah sikat gigi yang ditancapkan ke alat vitalnya itu patah menjadi dua saat dia berhubungan seks.
Dokter kemudian melakukan operasi yang memakan waktu selama dua jam di RSU dr Soetomo Surabaya, Jawa Timur.
Dokter yang memeriksanya menyebut pria berusia 43 tahun itu sedang berhubungan seks dengan seorang wanita yang berada di atas saat kejadian mengerikan itu terjadi.
Baca juga: Gagal di Pilpres 2024, Ganjar Dilaporkan ke KPK, Diduga Terima Suap 100 Juta saat Jadi Gubernur
Baca juga: Apa Hukumnya Puasa Tapi Tidak Sholat Lima Waktu, Apakah Sah? Berikut Ini Penjelasannya
Saat ditanya bagaimana sikat gigi tersebut bisa masuk ke dalam penisnya, pria tersebut mengatakan benda tersebut dimasukkan ke dalam penisnya untuk kepuasan seksual.
Peristiwa yang terjadi tahun 2017 ini menyebut bahwa pria tersebut mengaku sebelumnya sempat membuat sayatan kecil untuk memasukkan sikat gigi.
Namun tak dijelaskan lebih lanjut apakah sikat gigi tersebut sudah ada di dalam penis sejak saat itu, atau pria tersebut memasukkan dan mengeluarkan lagi sikat gigi tersebut.
"Pasien mengalami cedera penis saat melakukan hubungan seksual dengan posisi wanita di atas pada malam sebelumnya," demikian kata laporan jurnal tersebut.
"Dia mengalami 'kelainan bentuk terong', sebuah tanda patah tulang penis," lanjutnya.
Si pria itu dipulangkan tiga hari setelah operasi, dan melaporkan tidak ada masalah.
Baca juga: Mengamuk Jonathan Frizzy Polisikan Hatersnya, Keberatan Difitnah Terus: Inisialnya Sudah Dapat
Baca juga: Puasa Ramadan 2024 Sebentar Lagi, Yuk Baca Doa Tobat Minta Ampunan Jelang Ramadhan
Dan dia kembali untuk pemeriksaan lanjutan 1 bulan kemudian setelah bisa buang air kecil dan mengaku tidak mengalami komplikasi apapun.
Kasus penis 'patah' atau disebut fraktur penis terjadi saat bagian pelengkapnya terkena benda tajam dan tumpul.
Dalam banyak kasus, terdengar suara retakan atau letupan yang parah.
pria di Jawa Timur memasukkan sikat gigi ke dalam
masukkan sikat gigi ke dalam penis
RSU dr Soetomo Surabaya
Tribun-medan.com
| SAFITRI Dipanggil Pemkab Aceh Singkil Buntut Viralkan Dicerai Suaminya yang Baru Lulus PPPK |
|
|---|
| KABAR Terbaru Kak Seto Usai Terserang Stroke, Sempat Seminggu Alami Gejala Ini Tapi Anggap Sepele |
|
|---|
| Motor Brebet Makin Banyak di Jatim, Petugas SPBU: Warna Pertalite Kini Berbeda, Bau Lebih Menyengat |
|
|---|
| Rumahnya Ditempel Stiker Keluarga Miskin, Ratusan Warga Malu Lalu Mundur dari Penerima Bansos PKH |
|
|---|
| Penerima Bansos Malu Rumahnya Ditempel Stiker Keluarga Miskin, Anggota DPRD Setuju dengan Dinsos |
|
|---|

Isi komentar sepenuhnya adalah tanggung jawab pengguna dan diatur dalam UU ITE.